بهترین لمینیت تهران، داشتن لبخندی زیبا و دندانهایی درخشان، خواسته بسیاری از افراد است. یکی از مؤثرترین روشها برای رسیدن به این هدف، استفاده از لمینیت دندان است. اما سوال اصلی اینجاست: بهترین لمینیت تهران را کجا میتوان انجام داد؟ در این مقاله تلاش کردهایم تا به بررسی ویژگیهای بهترین لمینیت تهران، مزایا، مراحل انجام، هزینهها، نظرات بیماران و مقایسه آن با سایر روشها بپردازیم.
بهترین لمینیت تهران
لمینیت دندان چیست و چرا باید انجام شود؟
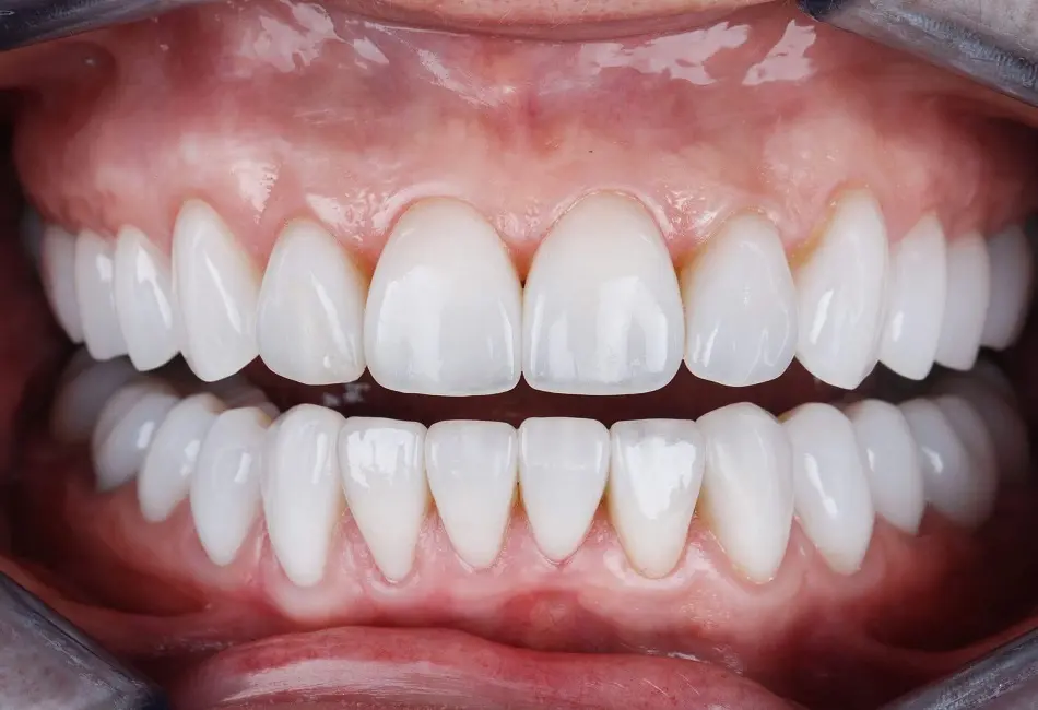
لمینیت دندان، یک پوسته نازک از جنس سرامیک یا کامپوزیت است که روی سطح بیرونی دندانها قرار میگیرد و بهصورت دائمی یا نیمهدائمی باعث زیبایی، سفیدی و اصلاح فرم دندانها میشود. اگر به دنبال بهترین لمینیت تهران هستید، باید مرکزی را انتخاب کنید که از جدیدترین تکنولوژی، بهترین مواد و دندانپزشکان مجرب بهره میبرد.
چه کسانی به لمینیت نیاز دارند؟
افرادی که یکی از شرایط زیر را دارند، میتوانند از لمینیت استفاده کنند:
- بدرنگی دندانها
- شکستگی یا لبپریدگی دندان
- ناهماهنگی در اندازه یا شکل دندانها
- وجود فاصله بین دندانها
در کلینیک مهر، شما میتوانید با مشاوره تخصصی، بهترین نوع درمان برای شرایط خاص خود را انتخاب کنید و از بهترین لمینیت تهران بهرهمند شوید.
ویژگیهای بهترین لمینیت تهران چیست؟
برای شناسایی بهترین لمینیت تهران باید به فاکتورهای زیر توجه داشته باشید:
- تخصص و تجربه دندانپزشک: پزشک باید مهارت بالا و تجربه کافی در حوزه زیبایی دندان داشته باشد.
- استفاده از مواد با کیفیت: لمینیت با کیفیت بالا، ماندگاری بیشتری دارد.
- تجهیزات پیشرفته: استفاده از اسکنر دیجیتال، دستگاه CAD/CAM و فناوری روز دنیا از اهمیت بالایی برخوردار است.
- نظرات بیماران قبلی: بررسی نتایج درمان و رضایت بیماران گذشته، راهنمای خوبی است.
همه این ویژگیها در کلینیک مهر، ارائهدهنده بهترین لمینیت تهران رعایت شده و تجربهای رضایتبخش را برای شما رقم خواهد زد.

مزایای استفاده از لمینیت دندان
- افزایش زیبایی لبخند
- ماندگاری بالا (بیش از ۱۰ سال)
- مقاوم در برابر تغییر رنگ
- افزایش اعتماد به نفس
- نیاز به تراش کم یا بدون تراش (در روشهای پیشرفته)
اگر به دنبال تجربهای مطمئن و زیبا هستید، لمینیت در کلینیک مهر با عنوان بهترین لمینیت تهران میتواند انتخابی بینقص باشد.
مقایسه لمینیت سرامیکی با کامپوزیتی
| ویژگی | لمینیت سرامیکی | لمینیت کامپوزیتی |
|---|---|---|
| دوام | بالا (۱۰ تا ۱۵ سال) | متوسط (۵ تا ۷ سال) |
| زیبایی | بسیار طبیعی | طبیعی |
| قیمت | بیشتر | کمتر |
| نیاز به تراش | گاهبهگاه | کم یا بدون تراش |
با مشاوره رایگان در کلینیک مهر، میتوانید بین این دو گزینه انتخاب کرده و از بهترین لمینیت تهران بهرهمند شوید.
مراحل انجام لمینیت در کلینیک مهر
- مشاوره اولیه: بررسی وضعیت دندانها و نیاز بیمار
- عکسبرداری دیجیتال: استفاده از اسکن سهبعدی
- طرح لبخند دیجیتال: شبیهسازی لبخند نهایی
- تراش سطحی (در صورت نیاز): بدون آسیب به مینای دندان
- نصب لمینیت: با دقت و مهارت بالا
- پایان درمان: لبخند زیبا و درخشان
فرآیند انجام لمینیت در کلینیک مهر بسیار دقیق و تخصصی بوده و مطابق با استانداردهای بهترین لمینیت تهران اجرا میشود.
هزینه بهترین لمینیت تهران چقدر است؟
هزینه لمینیت بستگی به موارد زیر دارد:
- نوع لمینیت (سرامیکی یا کامپوزیتی)
- تعداد دندانهای درگیر
- وضعیت سلامت لثهها
- تجهیزات استفاده شده
- تجربه پزشک
در کلینیک مهر، تعرفهها کاملاً شفاف بوده و همواره تلاش شده تا با حفظ کیفیت، مقرونبهصرفهترین گزینهها برای بهترین لمینیت تهران ارائه شود.
چرا کلینیک مهر، بهترین انتخاب برای لمینیت در تهران است؟
- تیم مجرب با سالها تجربه
- تجهیزات دیجیتال پیشرفته
- استفاده از لمینیتهای برند اروپایی
- طرح لبخند دیجیتال قبل از شروع کار
- شرایط اقساطی مناسب
- واقعشده در یکی از بهترین مناطق تهران (اختیاریه، قیطریه، شریعتی)
در تمام مراحل، تیم کلینیک مهر با هدف ارائه بهترین لمینیت تهران همراه شماست.
اگر در جستوجوی بهترین لمینیت تهران هستید، کلینیک مهر با برخورداری از متخصصان حرفهای، تجهیزات بهروز و خدمات مشاورهای کامل، انتخابی مطمئن است. چه به دنبال اصلاح رنگ دندان باشید، چه فرم یا ساختار آنها، این مرکز پاسخگوی تمام نیازهای زیبایی دندان شماست. لبخندی زیبا، شروعی تازه برای اعتماد به نفس و ارتباطات موفقتر است.
تماس با ما برای دریافت نوبت بهترین لمینیت تهران
جهت دریافت مشاوره تخصصی، نوبتدهی آنلاین و مشاهده نمونهکارها، به سایت ما مراجعه کرده یا با شمارههای درجشده تماس بگیرید. کلینیک مهر؛ نقطه شروع لبخندی بینقص.
تفاوت ونیر کامپوزیتی و سرامیکی در بهترین لمینیت تهران
در هنگام بررسی گزینههای موجود برای بهترین لمینیت تهران، دو نوع ونیر مطرح هستند: کامپوزیتی و سرامیکی. تفاوت اصلی این دو در جنس مواد، ماندگاری، ظاهر نهایی و قیمت آنهاست.
- لمینیت کامپوزیتی: این نوع لمینیت در مطب و طی یک جلسه توسط دندانپزشک مستقیماً روی دندان ساخته میشود. ارزانتر است ولی دوام و درخشندگی کمتری دارد.
- لمینیت سرامیکی: این نوع در لابراتوار ساخته شده و بسیار زیباتر و طبیعیتر به نظر میرسد. لمینیت سرامیکی انتخاب اکثر بیماران برای داشتن بهترین لمینیت تهران است.
اشتباهات رایج هنگام انتخاب بهترین لمینیت تهران
بسیاری از افراد به دلیل ناآگاهی یا تبلیغات گمراهکننده، دچار اشتباهاتی میشوند که در آینده موجب پشیمانیشان خواهد شد. برخی از رایجترین این خطاها عبارتاند از:
- انتخاب بر اساس ارزانترین قیمت: کیفیت مواد و تجربه پزشک بسیار مهمتر از هزینه پایین است. انتخاب بهترین لمینیت تهران نیاز به سرمایهگذاری دارد.
- بیتوجهی به سابقه کلینیک: مراکزی که تخصصی در دندانپزشکی زیبایی ندارند، ممکن است نتیجه مطلوبی ارائه ندهند.
- عدم بررسی نمونهکارها: تصاویر قبل و بعد بیماران قبلی میتواند بهترین راهنما برای اعتماد باشد.
- نداشتن مشاوره تخصصی قبل از درمان: مشاوره نقش مهمی در انتخاب نوع درمان دارد.
چه مراقبتهایی بعد از انجام بهترین لمینیت تهران نیاز است؟
برای افزایش عمر لمینیت و حفظ زیبایی لبخند، توصیه میشود:
- استفاده از مسواک نرم و نخ دندان بهصورت منظم
- پرهیز از خوردن غذاهای بسیار سفت یا جویدن یخ
- پرهیز از نوشیدن بیشازحد نوشیدنیهای رنگی مانند قهوه و چای
- مراجعه دورهای برای بررسی سلامت دندانها
با رعایت این نکات، شما میتوانید تا سالها از مزایای بهترین لمینیت تهران بهرهمند شوید.
آیا همه افراد میتوانند لمینیت انجام دهند؟
خیر. برخی شرایط مانع استفاده از لمینیت میشوند. افراد زیر باید ابتدا مشکلات خود را درمان کنند:
- افرادی با تحلیل لثه شدید
- کسانی که دندانقروچه شدید دارند
- افرادی با پوسیدگیهای فعال
- کسانی که نظم فکی-صورتی ندارند
در کلینیک مهر، قبل از شروع هر درمان زیبایی، ابتدا شرایط سلامت دهان و دندان بررسی شده و فقط در صورت تأیید پزشک، مراحل بهترین لمینیت تهران آغاز میشود.
مقایسه مراکز مختلف برای بهترین لمینیت تهران
اگرچه مراکز زیادی در تهران خدمات لمینیت ارائه میدهند، اما همه آنها در یک سطح نیستند. برای یافتن بهترین لمینیت تهران باید مراکز را از نظر معیارهای زیر مقایسه کرد:
| مرکز | دندانپزشک متخصص | ضمانتنامه کتبی | مشاوره رایگان | قیمت منصفانه |
|---|---|---|---|---|
| کلینیک مهر | ✅ دارد | ✅ دارد | ✅ دارد | ✅ مناسب |
| مراکز عمومی | ❌ ندارد | ❌ ندارد | ❌ ندارد | ✅ ارزانتر |
| مطبهای شخصی | ✅ دارد | ❌ ندارد | ✅ دارد | ❌ متغیر |
تحلیل فوق نشان میدهد کلینیک مهر انتخاب برتری برای دریافت بهترین لمینیت تهران است.
روند استفاده از لمینیت دندان در سالهای اخیر در ایران و بهویژه تهران رشد چشمگیری داشته است. پیشرفت فناوری در ساخت لمینیتهای نازک، بدون تراش و با ماندگاری بالا، باعث شده تقاضا برای بهترین لمینیت تهران افزایش یابد. در سطح جهانی نیز، تکنولوژیهایی مانند اسکن دیجیتال، چاپ سهبعدی، و نرمافزارهای طراحی لبخند (DSD) نقش مهمی در آینده این حوزه خواهند داشت.
کلینیک مهر نیز با بهرهگیری از این تکنولوژیها، پیشتاز در ارائه خدمات بهروز لمینیت در تهران است.
نکاتی که پیش از مراجعه برای لمینیت باید بدانید
- قبل از انجام لمینیت، جرمگیری و بررسی لثه ضروری است.
- ممکن است در برخی موارد نیاز به اصلاح فرم لثه (لیفت لثه) وجود داشته باشد.
- لمینیت یک درمان زیبایی است و معمولاً تحت پوشش بیمه قرار نمیگیرد.
- برای رسیدن به بهترین نتیجه، همکاری بیمار (در رعایت بهداشت و تغذیه) الزامی است.
همه این نکات در کلینیک مهر با مشاوره کامل قبل از انجام بهترین لمینیت تهران توضیح داده میشود.
اگر بهدنبال لبخندی زیبا، طبیعی و پایدار هستید، هیچچیز بهتر از انتخاب درست برای لمینیت نخواهد بود. در انتخاب خود باید به مهارت پزشک، کیفیت مواد، تجهیزات کلینیک و تجربیات بیماران توجه کنید.
کلینیک مهر، با سالها تجربه در حوزه دندانپزشکی زیبایی، تجهیزات پیشرفته، تیم متخصص و رضایت بالای مراجعان، یکی از گزینههای برتر برای بهترین لمینیت تهران است. با دریافت مشاوره رایگان، امکان پرداخت اقساطی، و کیفیت تضمینی خدمات، این مرکز انتخابی هوشمندانه برای افرادیست که به سلامت و زیبایی دندان خود اهمیت میدهند.
جهت مشاوره رایگان و دریافت وقت برای بهترین لمینیت تهران با ما تماس بگیرید

سوالات متداول درباره بهترین لمینیت تهران
1. بهترین لمینیت تهران چه ویژگیهایی دارد؟
بهترین لمینیت تهران باید توسط دندانپزشکی با تجربه بالا، با استفاده از متریال درجه یک، طراحی لبخند اصولی و تجهیزات مدرن انجام شود. کیفیت نتیجه نهایی، دوام بالا و طبیعی بودن رنگ دندانها از اصلیترین شاخصهای بهترین لمینیت تهران است.
2. ماندگاری بهترین لمینیت تهران چقدر است؟
در صورتی که از لمینیت بهدرستی مراقبت شود، بهترین لمینیت تهران میتواند بین ۱۰ تا ۱۵ سال دوام داشته باشد. استفاده از نخ دندان، مسواک زدن منظم و مراجعات دورهای کمک میکند طول عمر لمینیت بیشتر شود.
3. آیا بهترین لمینیت تهران باعث آسیب به دندان میشود؟
خیر، اگر بهترین لمینیت تهران توسط متخصص و با تکنیکهای غیرتهاجمی انجام شود، نهتنها آسیبی به دندان وارد نمیکند، بلکه از مینای دندان نیز محافظت مینماید.
4. چه کسانی برای دریافت بهترین لمینیت تهران مناسب نیستند؟
افرادی با مشکلات شدید لثه، دندانقروچه شبانه یا پوسیدگی گسترده ابتدا باید درمانهای پایهای انجام دهند و سپس برای دریافت بهترین لمینیت تهران اقدام کنند.
5. هزینه بهترین لمینیت تهران چقدر است؟
هزینه بهترین لمینیت تهران بستگی به نوع لمینیت (سرامیکی یا کامپوزیتی)، تعداد دندانها و تجربه دندانپزشک دارد. البته مراکزی مانند کلینیک مهر شرایط پرداخت اقساطی نیز فراهم کردهاند.
6. فرق بهترین لمینیت تهران با لمینیتهای معمولی چیست؟
بهترین لمینیت تهران با مواد باکیفیتتر، دقت طراحی بیشتر و رعایت اصول زیباییشناسی انجام میشود. در نتیجه لبخندی طبیعیتر، هماهنگتر و ماندگارتر خواهید داشت.
7. چطور میتوان مرکز مناسبی برای بهترین لمینیت تهران انتخاب کرد؟
مشاهده نمونهکارهای قبل و بعد، بررسی نظرات بیماران قبلی و مقایسه خدمات و قیمتها بهترین روش برای یافتن بهترین لمینیت تهران است.
8. آیا بهترین لمینیت تهران درد دارد؟
خیر، روند نصب بهترین لمینیت تهران معمولاً بدون درد و با بیحسی موضعی انجام میشود. بعد از اتمام کار نیز بیشتر بیماران هیچ ناراحتی خاصی ندارند.
9. آیا امکان شکستن یا لبپریدگی بهترین لمینیت تهران وجود دارد؟
بله، در صورت وارد آمدن ضربه شدید یا استفاده نادرست مانند شکستن آجیل با دندان، امکان آسیب وجود دارد. با رعایت مراقبتهای لازم، بهترین لمینیت تهران دوام بالایی خواهد داشت.
10. بهترین کلینیک برای بهترین لمینیت تهران کجاست؟
کلینیک مهر، با سابقه درخشان، استفاده از تجهیزات روز دنیا و تیم متخصص، از جمله بهترین مراکز برای بهترین لمینیت تهران بهشمار میرود.
11. آیا بهترین لمینیت تهران روی دندانهای تیره هم جواب میدهد؟
بله، اگر دندانهای شما بدرنگ یا تیره باشد، بهترین لمینیت تهران میتواند بهخوبی آنها را پوشش داده و لبخندی درخشان به شما هدیه دهد.
12. بعد از انجام بهترین لمینیت تهران چطور باید غذا خورد؟
توصیه میشود از خوردن غذاهای سفت و رنگی در روزهای ابتدایی اجتناب شود. پس از عادت کردن، بهترین لمینیت تهران مشکلی برای تغذیه روزمره ایجاد نمیکند.
13. آیا برای انجام بهترین لمینیت تهران نیاز به تراش زیاد دندانها است؟
در روشهای مدرن، مینای دندان بسیار کم تراشیده میشود یا اصلاً نیازی به تراش نیست. این موضوع یکی از مزیتهای مهم بهترین لمینیت تهران است.
14. آیا رنگ بهترین لمینیت تهران با مرور زمان تغییر میکند؟
در صورتی که از لمینیت سرامیکی استفاده شود و نکات بهداشتی رعایت گردد، رنگ بهترین لمینیت تهران سالها بدون تغییر باقی میماند.
15. چه مدت زمان لازم است تا بهترین لمینیت تهران نصب شود؟
در روش لمینیت سرامیکی معمولاً ۷ تا ۱۰ روز زمان لازم است. اما برخی مراکز، مثل کلینیک مهر، با سرعت و کیفیت بالا این فرآیند را در مدت کوتاهتری انجام میدهند و بهترین لمینیت تهران را در زمان کوتاه تحویل میدهند.
16. آیا بهترین لمینیت تهران با لمینیت فوری فرق دارد؟
بله، لمینیت فوری معمولاً کیفیت پایینتری دارد. بهترین لمینیت تهران با بررسی دقیق، طراحی سهبعدی لبخند و دقت بالای ساخت انجام میشود.
17. آیا میتوان تنها چند دندان را با بهترین لمینیت تهران ترمیم کرد؟
بله، بسته به نیاز بیمار میتوان تنها چند دندان جلویی را با بهترین لمینیت تهران اصلاح نمود.
18. در چه سنی میتوان از بهترین لمینیت تهران استفاده کرد؟
معمولاً بعد از سن ۱۸ سالگی و با تکمیل رشد فک و دندانها، انجام بهترین لمینیت تهران امکانپذیر است.
19. آیا بعد از لمینیت امکان برگشت به حالت قبل وجود دارد؟
خیر، در بیشتر موارد تراش جزئی انجام شده و برگشتپذیر نیست. به همین دلیل انتخاب بهترین لمینیت تهران و پزشک با تجربه بسیار مهم است.
20. آیا بیمه هزینه بهترین لمینیت تهران را پرداخت میکند؟
از آنجا که بهترین لمینیت تهران یک درمان زیبایی محسوب میشود، معمولاً تحت پوشش بیمه قرار نمیگیرد. البته برخی کلینیکها مانند کلینیک مهر شرایط پرداخت قسطی فراهم کردهاند.
21. آیا لمینیت به دندان آسیب میزند؟
خیر. در صورتی که توسط متخصص انجام شود، لمینیت به ساختار دندان آسیبی نمیرساند.
22. آیا بعد از لمینیت نیاز به مراقبت خاصی هست؟
بله. رعایت بهداشت دهان، پرهیز از گاز زدن اجسام سخت و مراجعه منظم برای چکاپ ضروری است.
23. چه مدت لمینیت دوام دارد؟
در صورت مراقبت صحیح، لمینیت میتواند تا ۱۵ سال یا بیشتر عمر کند.
24. بهترین زمان برای انجام لمینیت چه زمانی است؟
هر زمانی که دندانها از نظر بهداشتی سالم باشند، میتوان لمینیت را انجام داد.




